Chirurgia Odontoiatrica
Rimozione cisti
È fondamentale sottoporsi a controlli regolari dal dentista, inclusi esami radiologici, per rilevare tempestivamente le cisti mascellari. La rimozione della cisti avviene tramite cistectomia chirurgica, un intervento ambulatoriale che può essere eseguito in anestesia locale o sotto sedazione. La procedura è di routine e viene scelta in base alle dimensioni della cisti e ad eventuali altre condizioni. Dopo l’intervento, l’osso si rigenera naturalmente, ma per cavità più grandi potrebbe essere necessario l’uso di osso artificiale. Sono previste radiografie di controllo a sei mesi e un anno, insieme a una valutazione clinica e, se necessario, l’uso di Digital Smile Design per perfezionare il risultato estetico.
Le cisti mascellari sono cavità piene di liquido che si sviluppano nell’osso della mascella, spesso a causa di un dente infetto, ma possono anche formarsi indipendentemente. Queste cisti, se non rilevate e rimosse, continuano a crescere, causando gravi problemi. Spesso asintomatiche, vengono diagnosticate casualmente durante le visite dentistiche. È fondamentale sottoporsi a controlli regolari per individuare tempestivamente le cisti e prevenire complicazioni.
Le cisti si sviluppano nella mascella e, se non trattate, sono in costante crescita. Quando il gonfiore diventa visibile, la capsula cistica è già cresciuta fino a raggiungere notevoli dimensioni. Se si sviluppa vicino al dente, può causare un’infiammazione del dente stesso; quando si forma nell’osso indipendentemente da un dente, può spostare l’osso e quindi indebolire la mascella. Una cisti di solito causa sintomi solo quando preme sulla radice del dente circostante o su un nervo.
Frenulectomia
Una frenulectomia è una semplice procedura chirurgica che prevede la rimozione o il riposizionamento di una fascia di tessuto che influisce negativamente sul tessuto gengivale e/o sulla lingua.
Il frenulo è un attaccamento tra due tessuti molli della bocca, comprese le guance, le labbra e le gengive.
Il frenulo labiale è il tessuto che collega il tessuto gengivale tra i due denti anteriori al labbro superiore.
Se questo frenulo si trova troppo in basso sul tessuto gengivale, può verificarsi uno spazio tra i due denti anteriori.
Può anche causare una recessione gengivale sollevando le gengive dalla mascella.
I vantaggi di una frenulectomia labiale includono:
- Migliora la funzione del morso
- Aiuta a ridurre il dolore e il disagio
- Promuove la fiducia in sé stessi nei bambini e negli adolescenti eliminando le lacune nel sorriso
Quando l’attaccamento del frenulo rende instabile il tessuto gengivale: se il tessuto gengivale intorno al frenulo è più mobile quando si mangia o si muovono i muscoli esso è più incline alla recessione. Lo si nota se il tessuto gengivale è più “bianco” quando si allunga il labbro. Nel caso in cui sia presente anche una recessione gengivale, a volte un innesto gengivale insieme alla rimozione del frenulo aiuta anche a trattare la recessione.

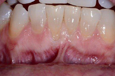
1
Frenulo prima del trattamento. Notare qui l'elevato attaccamento del frenulo e che ha causato la recessione gengivale al dente vicino

2
ll frenulo viene rimosso, la recessione viene coperta e il tessuto è spesso e rosa. In questo caso è stato eseguito un innesto gengivale libero.

3
Qui è stato chiuso uno spazio tra i denti anteriori, se vienisse lasciato, lo spazio rischierebbe di riaprirsi una volta tolte le piastrine.
Apicectomia
L’apicectomia è una procedura utilizzata per salvare un dente quando il ritrattamento del canale radicolare non ha avuto successo. L’area viene anestetizzata con anestesia locale, e per i pazienti ansiosi è disponibile la sedazione.
Durante l’intervento, viene effettuato un piccolo taglio nella gengiva sopra il dente interessato per rimuovere il granuloma o la ciste, insieme a una parte dell’apice della radice. La punta del canale infetto viene sigillata con cemento biologico MTA, e se necessario, le cavità più grandi vengono riempite con osso artificiale. L’area di ingresso viene poi sigillata con una membrana o un trapianto di gengiva per favorire la guarigione.
La recessione gengivale comporta la perdita di protezione contro batteri e traumi, aumentando il rischio di danni ai denti. Se lieve, può essere sufficiente modificare le abitudini di cura orale, ma in caso di recessione profonda, può essere necessario un innesto gengivale per prevenire danni ulteriori. La perdita di gengiva espone anche l’osso sottostante, che può indebolire i denti e, in casi gravi, causare la loro mobilità. La recessione può rendere difficile mantenere una buona igiene orale e influire negativamente sull’estetica del sorriso, con denti più lunghi e gengive irregolari. Inoltre, può portare a sensibilità dentale e aumento del rischio di carie radicolari.
Un sorriso bello e sano dipende non solo dai denti, ma anche da gengive in perfetta forma. Gengive troppo visibili o una recessione gengivale possono compromettere l’estetica del sorriso. Grazie a correzioni mininvasive o innesti gengivali, possiamo risolvere questi inestetismi.
Il primo passo verso il risultato estetico ideale è una simulazione tramite wax-up o Digital Smile Design®, che ci permette di analizzare e pianificare le correzioni, mostrando i cambiamenti estetici prima del trattamento.
La salute delle gengive è influenzata da fattori ereditari, igiene orale e stile di vita. In base alla diagnosi, scegliamo con te la tecnica di correzione gengivale più adatta per ottenere il sorriso desiderato.
Denti del giudizio
I denti del giudizio spesso non erompono completamente, con l’80% dei giovani in Europa che ne ha almeno uno non erotto, soprattutto nella mascella inferiore. Questo può causare dolore, gonfiore, infiammazioni o movimenti che danneggiano i denti adiacenti. Anche se regolarmente posizionati, i denti del giudizio possono spostare i denti, causando carie o altre complicazioni.
La rimozione dei denti del giudizio è consigliata quando causano dolore, danni alla mascella, o rischiano di influire su trattamenti ortodontici. Inoltre, se c’è il rischio che danneggino la dentatura o rovinino i denti vicini, la rimozione può essere necessaria.
Consultare sempre un dentista per valutare i rischi e i benefici della chirurgia dei denti del giudizio. Se prevista, segui le istruzioni pre e post-operatorie per una guarigione ottimale.
Allungamento di corona clinica
E’ un intervento parodontale molto frequente che viene eseguito in seguito a fratture profonde della corona che arrivano alla radice o per carie che interessano le superfici radicolari. Quando il tessuto sano di un dente è al di sotto della gengiva, magari in stretta vicinanza con l’osso, non è possibile procedere alla sua ricostruzione prima di avere ripristinato quello che in letteratura viene definita “ampiezza biologica” (l’osso deve sempre essere distante da qualsiasi ricostruzione almeno 2 mm. circa altrimenti si crea infiammazione con edema, recessioni o tasche).
Quando una carie o una frattura raggiungono l’osso, è necessario procedere con un intervento di allungamento della corona clinica per ricreare l’ampiezza biologica e garantire una corretta ritenzione del dente. Durante la procedura, dopo l’anestesia locale, si effettua un’incisione della gengiva per esporre l’osso circostante, che viene rimodellato con una fresa per mantenere l’anatomia corretta. La carie o la porzione fratturata viene rimossa, e il dente viene ricostruito.
Questo intervento è fondamentale per recuperare radici compromesse, evitando l’estrazione e la necessità di un impianto. Il tempo di guarigione varia tra i 3 e i 6 mesi. L’allungamento della corona clinica è anche utile quando un dente corto non offre sufficiente supporto per una corona, prevenendo rischi di scementazione.

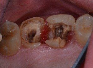
1
Radici molto compromesse dal processo carioso. Prima dell’intervento.

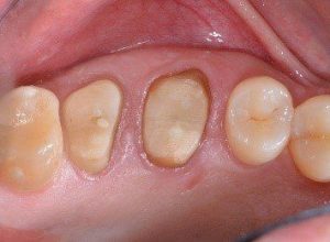
2
Dopo l’intervento di allungamento.

3
Provvisori in situ nell’attesa della guarigione completa dei tessuti.